
/
/
Amalgamfüllungen können die Zähne schädigen – daher bieten wir Amalgamsanierungen an. Lesen Sie hier mehr dazu.
Mehr erfahren
Kennen Sie das? Gründlich geputzt und trotzdem ein Loch im Zahn? Das kann leider jedem passieren. Sollten Sie eine kariöse Stelle in Ihrem Zahn entdecken oder sollte eine solche bei der Kontrolle bemerkt werden, ist es wichtig, diese schnell zu versorgen. Nur so können eine weitere Ausbreitung der Karies und damit einhergehende Schädigungen der Zahnsubstanz verhindert werden. Dabei ist es aber nicht nur wichtig, dass die Versorgung gründlich und lange haltbar ist. Sie soll auch optisch unauffällig sein und sich ästhetisch einfügen.

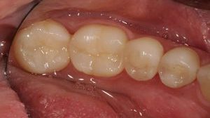
Bis zu einer gewissen Größe sind Kunststofffüllungen eine gute Alternative zu Keramikfüllungen. Wenn diese fachgerecht verklebt werden, stehen Sie der Keramik in Sachen Haltbarkeit in nichts nach. Die von uns hergestellten Füllungen sind dentinadhäsiv (mit dem Zahn verklebt) und vielfach nach genauen Vorgaben der Spannungsfelder im Zahn geschichtet. Nur so lässt sich eine lange Haltbarkeit erreichen. Zudem können wir Ihnen bei Ihrem Zahnarzt München-Unterföhring Mikrofüllungen einsetzen. Diese sind besonders schonend und werden unter dem Einsatz einer hochauflösenden Lupenbrille, Kariesindikator und speziellen Mikroinstrumenten gefertigt. Sie halten extrem lange und eignen sich besonders als Erstversorgung eines Zahns.
Es ist wichtig, dass eine absolute Trockenlegung während der Behandlung des kariösen Zahns erfolgt. Das erreichen wir mithilfe eines Gummituchs (sog. Kofferdam). Mit einem Farbstoff, der nur Karies einfärbt (Kariesindikator), können wir die betroffenen Stellen dann gezielt entfernen, ohne dabei gesunden Zahn zu opfern. Anschließend bringen wir die Zahnfüllung ein, je nach Größe der zu versorgenden Stelle und den Wünschen der Patienten. Natürlich achten wir während der kompletten Behandlung darauf, dass Sie keine Schmerzen haben. Sie erhalten eine Betäubung, nach Wunsch können wir Sie ggf. auch in einen Dämmerschlaf versetzen.
Wenn Sie sich eine hochwertige und schonende Versorgung bei Karies wünschen, sind Sie bei uns genau richtig! Wir stimmen die Art der Versorgung individuell mit Ihnen ab und beraten Sie zu allen Vor- und Nachteilen. Ihre Zahnärzte der Praxis legen besonders großen Wert darauf, Sie schmerzfrei und entspannt zu behandeln. Und damit eine neue Karies gar nicht erst entsteht, führen wir sinnvolle Prophylaxe durch und beraten Sie zu eine optimalen Mundhygiene zuhause.

/
/
Amalgamfüllungen können die Zähne schädigen – daher bieten wir Amalgamsanierungen an. Lesen Sie hier mehr dazu.
Mehr erfahren